L’ostéotomie mandibulaire classique est au niveau de la branche horizontale, et l’angle mandibulaire reste en place. Dans les assymétries, la hauteur de l’angle n’est pas corrigée.
l’ostéotomie haute de la mandibule se situe au dessus de l’angle mandibulaire.
Elle permet de faire une avancée, éventuellement associée à une dérotation, et un abaissement de l’angle.
l'ostéotomie HAUTE de la mandibule permet d'abaisser l'angle mandibulaire.
l’assymétrie de la mandibule déforme le plan maxillaire ascensionné à droite
l’occlusion était impossible sans chirurgie segmentaire maxillaire
on commence donc par une ostéotomie mandibulaire d’abaissement de l’angle droit.
la mandibule est horizontalisée, et le maxillaire segmenté
avancée mandibulaire droite par une ostéotomie mandibulaire haute
avancée mandibulaire gauche associée à un abaissement de l’angle gauche.
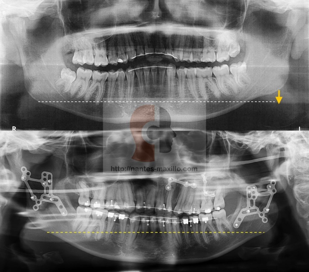
On voit ici sur le panoramique l’horizontalisation de l’angle mandibulaire,
(la chirurgie a associé une ostéotomie segmentaire maxillaire Gauche d’abaissement à une ostéotomie haute bilatérale d’avancée, et d’abaissement de l’angle gauche.)
dans une ostéotomie mandibulaire classique, le positionnement des angles mandibulaires est moins performant dans les assymétries verticales.
dans une assymétrie verticale, il est possible d’abaisser la Gauche et remonter la droite la mandibule. Il reste ensuite à horizontaliser le maxillaire.
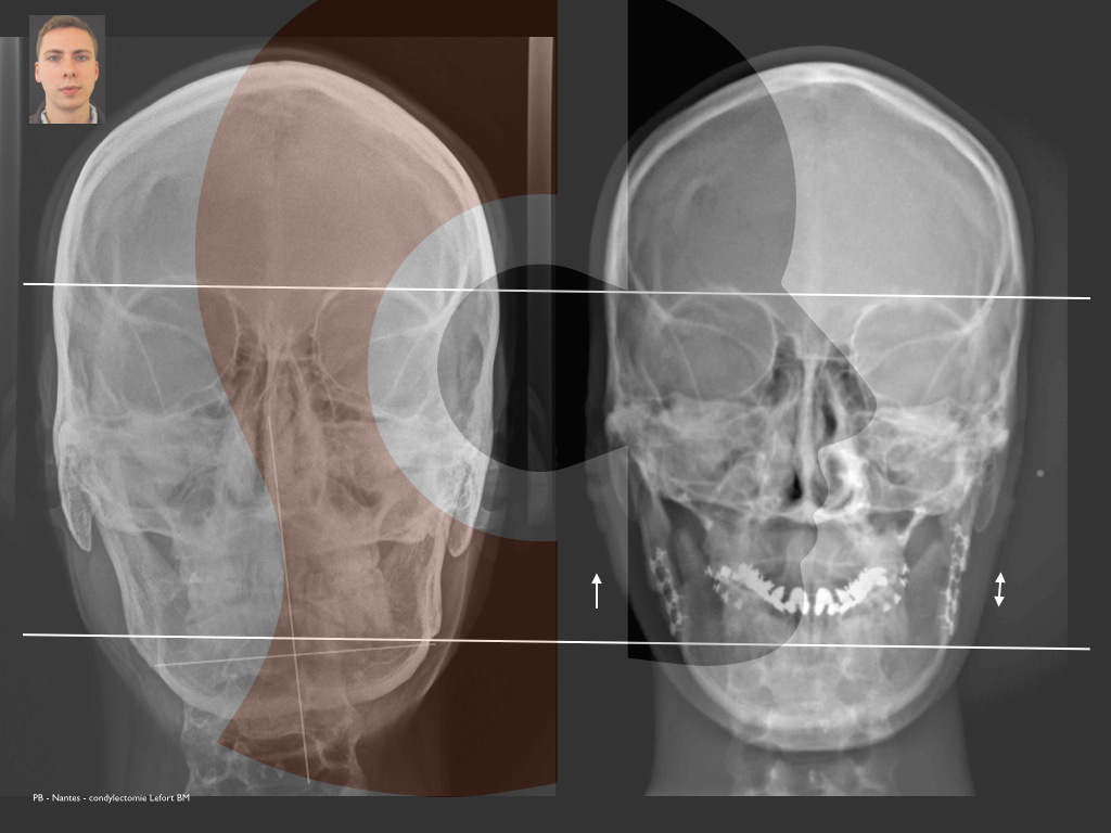
Hypercondylie droite opérée par une condylectomie par un abord externe, associée à un abaissement de l’angle mandibulaire Gche, remontée de l’angle mandibulaire droit, et une horizontalisation du maxillaire
Pour bien comprendre les avantages de l’ostéotomie HAUTE, ci-dessous les 7 articles à suivre expliquant les avantages de cette technique de chirurgie.
-
1moins de troubles sensitifs après la chirurgie
-
2moins de décalages osseux au bord basilaire
-
3moins de sollicitations des articulations
-
4incision plus petite, suites plus simples
-
5tout en une seule chirurgie
-
6sans être obligé de réaliser une incision cutanée
-
7la planification virtuelle de la chirurgie est plus simple
moins de troubles sensitifs
Les articles sont envoyés par email et ne sont pas accessible depuis le site internet. Il faut être abonné pour pouvoir les lire. Ils sont accessibles en cliquant sur ce bouton ci-dessus. Vous pourrez retrouver tout ce que vous avez reçu par email depuis le début en cliquant dessus.







