Aller au contenu

La disjonction maxillaire ou mandibulaire

Parfois la mâchoire est trop étroite. Cela entraîne un mauvais contact entre les dents des mâchoires supérieures et inférieures.

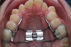
trans_GNE_modQuand la croissance est terminée, il est nécessaire d’associer un traitement à l’aide d’un disjoncteur avec un acte chirurgical.trans_ormco_rpe1 La chirurgie consiste à créer une fente dans l’os, puis l’appareil écartera tous les jours la fente afin qu’elle soit comblée par de l’os. Au niveau du maxillaire, l’appareil se situe au niveau du palais. Au niveau de la mandibule, en arrière des dents du bas.

Préparation :
l’orthodontiste met l’appareil en place quelques jours avant l’intervention.

L’intervention :
La chirurgie est la même que l’ostéotomie maxillaire. Elle se déroule sous anesthésie générale. En plus de l’ostéotomie de Lefort 1, il sera réalisé une section du plateau palatin qui permet de “l’élargir” à l’aide de l’appareil mis en place par l’orthodontiste.

Les suites :
l’utilisation de l’appareil vous sera montré par l’orthodontiste ou le chirurgien.  L’activation sera débutée une semaine après l’intervention, jusqu’à ce que l’orthodontiste vous dise d’arrêter. En général, l’activation se fait matin et soir. Il est recommandé de noter sur une feuille les tours que vous avez réalisés.

Comme après une ostéotomie du maxillaire (appelée ostéotomie de Lefort I), des petits saignements de nez peuvent arriver pendant les jours suivants. Les gonflements après l’intervention peuvent durer une dizaine de jours. Il est recommandé de ne pas se moucher après l’intervention.

Au niveau de la mandibule, l’ostéotomie se situe au niveau du menton. Le principe est le même, elle consiste en la pose d’un disjoncteur à appuis dentaire les jours précédents l’intervention. La fente au niveau du menton permet d’augmenter la largeur de la mâchoire inférieure.